頭蓋底腫瘍
頭蓋底腫瘍の治療について(とうがいていしゅよう)
Skull Base Tumors
頭蓋底腫瘍は頭蓋骨の底部に発生する腫瘍の総称です。100年も前からこれらの疾患に対する治療が試みられていますが、腫瘍が脳の深部にあること、 また多くの重要な神経組織や血管などが近くにあるため、危険性が高く、治療成績は思わしくありませんでした。しかし近年では、顕微鏡を用いた手術が開発され、また内視鏡を用いた新しい治療方法が開発されて手術成績はかなり向上してきています。
さらに放射線治療の方法もガンマナイフやサイバーナイフなどの導入によってかなり正確にまた他の神経組織を傷めることなく行うことが可能になり始めています。
化学療法も進歩し、近い将来にはウイルスや遺伝子を用いた腫瘍撃退療法が開発されるであろうと考えられています。
頭蓋底腫瘍の種類
頭蓋底腫瘍といっても多くの種類があります。その中でもっとも多いものは髄膜腫(後述)、神経鞘腫、下垂体腺腫(別に記載)などの良性腫瘍です。
| 良性のもの | 髄膜腫、神経鞘腫、下垂体腺腫など |
|---|---|
| 中悪性のもの | 脊索腫、軟骨肉腫 |
| 悪性のもの | 転移性腫瘍、耳・鼻咽喉原発癌、眼窩癌、肉腫、嗅神経芽腫 |
症候と診断方法
症候
- 頭痛/吐き気脳神経の麻痺
- 視力の低下、視野欠損(みえなくて車をぶつけてしまう)
- ものが2重に見える、顔の麻痺(非対称)、顔の痛み、痺れ 聴力の低下(電話が聞こえない)、声のかすれ、ものが飲み込みにくい、むせる、舌が動かない
- 首が痛い
- バランスの悪化
- 歩きにくい、手が動かない
など
症候の変化は腫瘍の場所、成長速度で異なります。概して症候が急に悪くなるものは悪性度の高いものが多いが、そうで無い場合もあります。
特にものが2重に見えたり、ものが飲み込みにくいなどの症状がありましたら、近くの医師、神経内科、脳神経外科医を受診しましょう。
診断方法
CTスキャン、MRI、血管撮影、PETなどです。
特にMRIによってとても小さな腫瘍まで見つかるようになりました。
早期に診断されることにより、治療のリスクは低くなり、また予後を改善します。
治療と予後
手術:手術療法は近年内視鏡の導入などにより進歩しています。
当院では先代の寺本主任教授の時代から下垂体や頭蓋底の腫瘍の治療に積極的に内視鏡を導入してきました。さらに森田はオリンパス社が開発したEndoarmという内視鏡と保持アームが一体となった機器のアドバイザーをして、開発を補助し、欧米にも広く紹介しました。さらに1997年にワシントンで臨床をしているときから内視鏡を頭蓋底手術に応用すべく力を注いできました。日本医大では広くこの手技を発展させるべくチームを作って参ります。
神経鞘腫(聴神経鞘腫、三叉神経鞘腫)などの神経繊維原発の腫瘍は頭蓋底アプローチまた電気生理学的 なモニターを用いてかなり安全にまた近傍の神経の機能(聴力、顔面の動き、顔の感覚)も極めて高率に温存出来るようになってきました。現在経験豊富な施設では聴神経腫瘍における顔面神経の温存率は90%以上、聴力の温存も腫瘍が2cm以下で手術前に聴力良好の場合、70%程度の患者さんで温存することが可能になっています。
一方で髄膜腫は大きなものは脳幹への癒着がつよくなり、治療に難渋します。当院ではナビゲーションシステムなどを使って、腫瘍の大部分を安全に摘出し、危険な部分は意識的に残し後日、ガンマナイフやサイバーナイフなどの治療を行うという治療が進められています。このような定位放射線治療は未だ歴史の浅い治療法ですが、腫瘍が小さければかなり良好に長期にわたって腫瘍の成長を押さえることが立証されています。
中悪性度の腫瘍は比較的放射線感受性が低く、手術で出来るだけ根治的に摘出する必要があります。しかしそれでも数年毎に再発を繰り返す症例が多く、 化学療法、また遺伝子療法の開発が待たれる領域です。ガンマナイフやサイバーナイフも症例に応じて有効なものがありますが、サイクロトロンなどを利用した重量子線放射がさらに有効という報告がなされています。
悪性の腫瘍においては治療の主体は化学療法と放射線療法、また症例に応じて手術による一塊摘出が可能になります。これは耳鼻科、眼科、脳神経外科、小児科、形成外科などが協力して腫瘍を摘出する複合手術です。
一般に頭蓋底の腫瘍は多くのExpert(脳外科、耳鼻科、形成外科、眼科、小児科、リハビリテーション科、放射線科など)の治療への参加が必要になります。それでも合併症の多い病気ですので、これらの疾患の治療に熟練した医師の常勤する施設で治療を受けられることをお勧めします。
早期診断・治療をするために新しい機器/技術が万能というわけではありません。新しい機器を乱用するのは医療費の無駄ですし、ただやみくもに検査を しても患者さんの負担をふやす一方です。診断効率も極めて低くなります。一方、もし診断・治療が遅れると、治療の予後は未だ良好とは言えません。些細な症候でも見のがさずとらえ早期に診断出来る能力も大切です。慎重な問診・診察(従来の医療)がここでも大切なわけです。大きな最新の機械をそなえた大病院で何時間も待って素っ気無い診察を受け、検査に何か月も待つ様なことをするより、そのような能力を備えた優れた掛かり付けのお医者さんをさがし、いざと言うときには緊急で紹介してもらえるようにしておくことも大切でしょう。
症例
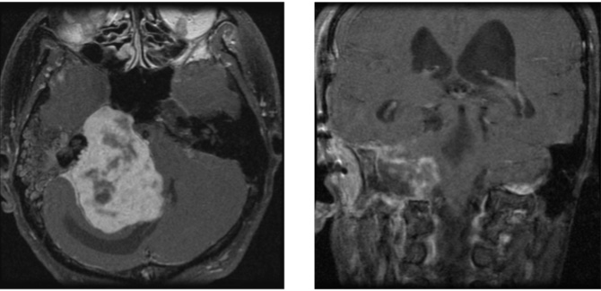
37歳男性 歩行障害、嚥下困難で発症 他院でサイバーナイフを推奨され当院に来院された。腫瘍が大きく、若年でもありまずは摘出を行い、残存部分に定位放射線治療を行う方針とした。下位脳神経(のどの筋肉を支配する神経)由来の神経鞘腫特殊な静脈構造をしており、後頭部を開放することが出来ず、全錐体アプローチにて摘出を行った。術後顔面麻痺が出現したが、歩行障害など改善し退院。
(左図)術前造影MRI
(右図)術後MRI 被膜のみを残して摘出



