悪性リンパ腫
脳悪性リンパ腫について(のうあくせいりんぱしゅ)
(中枢神経原発悪性リンパ腫:Primary Central Nervous System Lymphoma, PCNSL)
血液細胞のひとつであるリンパ球が腫瘍化したものです。通常はリンパ球組織が存在する他の臓器に出来る場合が多いのですが、脳内だけにこの腫瘍が出来る場合があります。これが中枢神経原発悪性リンパ腫です。原発性脳腫瘍の2.9%を占め、中高年に多く50歳以上が80%を占めます。
症状
腫瘍が出来た場所によって症状は異なります。手足の麻痺や失語症などの脳局所症状が50%程度に、その他に頭痛、嘔気、嘔吐などの頭蓋内圧亢進症状や精神症状があります。脳悪性リンパ腫は進行が早い腫瘍ですので、症状が出始めてからどんどん悪化していくことが多いです。
種類と頻度
リンパ球にはB細胞とT細胞がありますが、脳悪性リンパ腫の90%がびまん性大細胞B細胞リンパ腫と呼ばれるB細胞が腫瘍化したものです。他10%程度がバーキットリンパ腫やT細胞リンパ腫です。脳悪性リンパ腫の発生頻度は10万人に0.38人と他の脳腫瘍に比べると少ないです。
診断
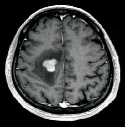
画像診断
脳の造影剤を用いたMRI検査で特徴的な所見が認められることがありますが、どんな形にもなりうる腫瘍としても有名です。(左図)
核医学検査(RI検査)ではIMP(イノシン酸)という物質に放射性物質を結合させた123I-IMPを注射すると悪性リンパ腫に結合します。通常の脳腫瘍には結合しないので、この検査で結合が見られる場合、脳悪性リンパ腫である確率はかなり高くなります。(右図矢印)
脳腫瘍生検術
生検術とは腫瘍の一部を開頭手術や生検針で採取する方法です。この組織を病理検査や遺伝子検査することで診断をつけます。
出来るだけ患者さんの負担が少ないように、頭蓋骨に小さな穴を開け(穿頭術)そこから組織採取用の針をニューロナビゲーションという装置を用いて正確に腫瘍の狙いをつけた場所に進め腫瘍組織を採取してきます。この時腫瘍が小さな場合や腫瘍組織が均一でない場合は狙った組織が採取出来ない場合もあります。これを防ぐために当院では蛍光診断(光線診断:PhotoDiagnosis)という方法を併用して正確な腫瘍組織を行っています。

(図)ニューロナビゲーションによる腫瘍生検術(穿頭術)

(図)A:MRIで非常に小さな腫瘍がみられます。
B:ニューロナビゲータで生検針を目的の場所に挿入します。
C:採取した組織に青い光を当てると腫瘍は赤く光って見えます(蛍光診断)。
治療
化学療法(抗癌剤)
悪性リンパ腫は化学療法剤がよく効くことが多いため手術で全摘出することは一般的ではありません。(腫瘍が大きく頭蓋内圧亢進症状がある場合や正常脳組織への圧迫が強くより早期の症状改善が必要な場合は腫瘍をなるべく多く摘出することもあります。)
これまで様々な化学療法剤が用いられてきましたが、現在はメソトレキセートを中心にその他の抗がん剤(リツキサン、プロカルバジン、オンコビンなど)と併用した化学療法プロトコールを行っています。
放射線療法
化学療法に引き続き放射線治療を行うことで治癒率の向上を図っています。
これらの治療はリンパ腫の専門家である血液内科の協力を得て進められます。



