核医学診断
核医学(Nuclear Medicine)
核医学検査とは、放射性同位元素を標識した薬剤を投与し生体内から発せられるガンマ線を収集することにより画像を得る検査方法です。
核医学検査に用いられる薬剤は特定の臓器に対する親和性を有するため、目的とする臓器の生理的な状態を非侵襲的に捉えることが出来ます。また、使用する薬剤の種類は目的とする臓器により異なり、中枢神経、循環器、呼吸器、消化器、泌尿器、内分泌、腫瘍・炎症など広い領域が対象臓器になります。今日のコンピュータ技術の向上により、生理的な生体内の薬剤分布の画像化に加えて、動態解析や統計解析など新たな画像解析法へと発展してきています。
日本医科大学付属病院では5台のガンマカメラが稼動しており、SPECT(断層画像)専用の3検出型撮像装置や全身撮像向けの大口径2検出器収集装置をはじめ、集中治療室などにおける緊急検査に対応できるモバイル型検出装置など、あらゆる条件下での検査に対応しています(図1)。年間の検査検数は5000件を越え、全国でも屈指の検査実績を誇っています。本院には6名の核医学専門医が勤務しており、専門医による読影報告や研修指導が行われています。
今日では心電図同期SPECT画像撮像による左室壁運動評価は全国的にも標準的となっていますが、当院では14年前に全国に先駆けて本収集法を開発し、その普及、改善に努めてきました。各種学会での教育講演・シンポジウムを通じて広くその有用性を提唱し、心電図同期法は広く認知されるようになりました。現在も臨床に即した応用解析を行っており、本院の動向は全国から注目されています(図2)。
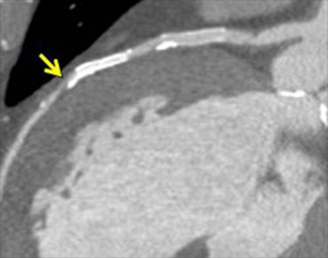
近年、心筋SPECTと心臓CTの融合画像により虚血性心疾患の包括的な診断が行われるようになってきています。本院では2007年7月より融合画像作成ソフトウェアを導入し一般臨床に用いています(図3)。
これにより冠動脈病変の部位と心筋虚血の関係をとらえ、適切な治療法の決定に役立てています。図4は労作性狭心症の症例です。ステントを留置した既往があり、最近になって再び狭心症症状が出てきました。左冠動脈前下行枝におけるステント留置部の遠位に狭窄病変がみられ、これが狭心症の原因となっている病変であることが分かります。
核医学では画像の標準化を目指してオリジナル解析プログラムを開発し、統計画像処理による認知症診断、脳動脈閉塞症に対する脳虚血重症度自動診断を実践しています。これらのプログラムは全国の医療施設でも広く利用され、その有用性は高く評価されています。
図4a 心臓CT
図4b SPECT/CT融合画像
PET(Positron Emission Tomography)
PETとは、ポジトロンを発生する放射性薬剤を投与し、薬剤から発生する陽電子が消滅する際に180度対向に放出される511KeVのγ線を検出することで生体内の薬剤の分布像を得る非侵襲的検査法です。PETで使用される代表的な放射性薬剤であるF-18デオキシフルオログルコース(2-[fluorine-18]-fluoro-2-deocxy-D-glucose;FDG)はグルコースと同様に代謝され、癌あるいは炎症などの糖代謝の亢進している組織は正常組織と比べ高集積として描出されます。PETの登場により、CT/MRIなどの形態画像とPETの代謝画像を併せて評価することにより、癌を始めとする多くの疾患の診断能が飛躍的に向上しました。
日本医科大学付属病院に隣接する健診医療センターは高性能なPET-CT装置が2台稼動しています。健診医療センターでは多くの医療機関から依頼されるPET検査と同時に、健常者のPETによる癌検診も積極的に行っています。いずれのPET装置も、従来30分を要した検査時間は約半分に短縮され、検査の終了から画像ができるまでの時間も3分以内であり(短時間の画像再構成時間)、PET認定医のモニター診断に基づく適切な検査手順の選択が可能となっています。PET検査は1990年代以降に癌診断への有用性が確立し、装置の向上とも相まって日本における臨床利用が急速に拡大しています。近年、PET像とCT像が同時に得られるPET-CT装置の普及でさらなる診断能の向上が期待されていますが、PET認定医はまだまだ不足しているのが現状です。幸いにも当教室には10人を越える核医学・PET認定医が在籍しており、今後、本邦におけるPET-CTの有用性の確立を担う専門性の高い施設として期待されています。
お問い合わせ
日本医科大学付属病院
〒113-8603 東京都文京区千駄木1-1-5
TEL: 03-3822-2131(代表)
夜間・休日救急外来
TEL: 03-5814-6119
(午後4時00分~翌日午前8時00分・土曜:午後2時00分~翌日 午前8時00分)
※休日(日曜・祝祭日、年末年始(12月30日~1月4日))、創立記念日は24時間対応しております。





